Beneficios de EPICITE RESCUE®
- Posee una buena adherencia.
- Proporciona protección contra la invasión de patógenos.
- Especialmente adecuado para las partes del cuerpo que son difíciles de tratar.
- Puede ser usado en quemaduras de tercer grado post escarectomía y heridas profundas en espera de injerto definitivo.
- Versátil en el manejo del paciente en casa (ambulatorio).
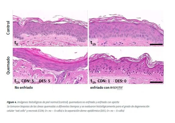
EPICITE RESCUE® reduce el daño intradérmico de la piel
Los resultados que comparan las muestras de quemaduras enfriadas con EPICITE RESCUE® y no enfriadas mostraron diferencias histológicas importantes, especialmente en la primera hora después de las quemaduras. La quemadura enfriada con EPICITE RESCUE® mostró:
- Significativamente menos células pequeñas “oat cell“,
- Menos degeneración y menos necrosis.
- Menos separación dérmica- epidérmica.
- Más células vitales.
EPICITE RESCUE® – es adecuado para el uso combinado con antisépticos comunes
En un estudio in vitro se evaluó el uso de EPICITE RESCUE® en combinación con antisépticos comunes. Se determinó su capacidad de absorción de los antisépticos, su liberación posterior y el patrón de inhibición frente a Staphylococcus aureus.
EPICITE RESCUE® muestra una absorción rápida y eficiente de las soluciones antisépticas
De las seis soluciones antisépticas probadas, cinco apósitos absorbieron más del 40% del componente activo después de remojarlo durante 30 min.